2025.10.20
间充质干细胞(MSC,亦称:间充质基质细胞1)是一类源于中胚层的成体干细胞,具有自我更新和多向分化的能力。作为非造血性干细胞,它们能够分化为多种细胞类型,例如脂肪细胞、软骨细胞、成骨细胞、肌细胞等。MSC广泛存在于多种人体组织中,并易于在体外分离和培养。

图片来源:www.biorender.com
间充质干细胞的核心生物学特性包括:
自我更新和增殖能力:MSC具有强大的自我更新能力和体外快速增殖特性,支持其在组织工程中的应用。
多向分化潜能:MSC可分化为多种细胞类型,包括成骨细胞、脂肪细胞、软骨细胞、神经样细胞和肌肉细胞等,适用于再生医学。这种分化能力受特定条件诱导,如不同培养基或信号。
免疫调节特性:MSC具有低免疫原性、免疫抑制和免疫调节能力,能调节炎症反应和抑制免疫细胞活化。其免疫可塑性使其功能具有环境依赖性,能根据炎症微环境的信号,表现出抑制免疫或促进炎症的双向调节作用。
旁分泌和外泌体作用:MSC分泌多种营养因子和外泌体(含脂质、蛋白质和RNA),这些衍生物介导了其主要生物学效应,如促血管生成、组织保护和抗炎作用,被称为“医疗信号细胞”。
其他特性:MSC具有归巢能力(迁移至损伤部位)、抗凋亡和保护性作用。
间充质干细胞可从多种组织中分离,主要包括脐带、骨髓和脂肪。不同来源的MSC在获取方式、应用潜力和生物学行为上有所差异。
脐带来源MSC(UC-MSC):来源于产后废弃物,具有更强的增殖能力且免疫原性极低,使其在异体移植中引起免疫排斥的风险较低,应用前景广阔。
骨髓来源MSC(BM-MSC):研究最深入,分化潜能强,免疫调节作用显著,但取材具侵入性,细胞数量随年龄增长而下降。
脂肪来源MSC(AD-MSC):获取简便(可通过抽脂手术),细胞产量高,增殖能力强,已成为临床应用的重要来源。
其他来源:包括牙髓干细胞、胎盘来源MSC等,在特定组织修复和专科医学中(如牙科、围产医学)显示出应用潜力。
妙顺生物提供高品质
人间充质干细胞分离冻存服务
细胞具有高纯度、高活率、低代次的优势,并经过严格质量控制,确保细胞原始特性。品质可靠,是您的理想选择。
向右滑动查看更多
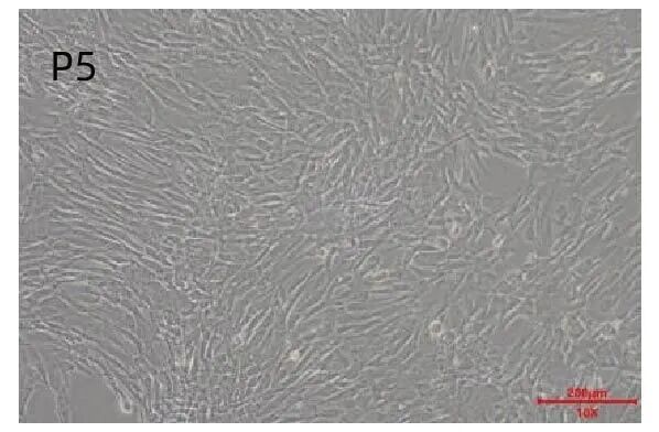
图一、人间充质干细胞-脐带来源(UC-MSC)传代培养形态学观察。UC-MSC呈梭形或纺锤形,胞体较小,高密度时倾向于平行排列或呈放射状,细胞边缘光滑。传代过程中细胞形态特征无显著差异,提示传代培养过程中形态稳定性良好。

图二、人间充质干细胞-脐带来源(UC-MSC)P2至P7代细胞存活率均稳定维持在90%以上,无显著统计学差异,表明传代培养过程中UC-MSC保持良好的细胞活性。

图三、人间充质干细胞-脐带来源(UC-MSC)细胞表面标志物流式细胞术鉴定结果:阳性标志物 CD90、CD73、CD105 表达>99%,阴性标志物 CD45、CD34 表达<1%,提示UC-MSC纯度高。
向右滑动查看更多
图四、成脂、成骨、成软骨分化鉴定结果
A. 成脂分化鉴定(油红 O 染色):UC-MSC经成脂诱导培养后进行油红 O 染色,光学显微镜下可见细胞内出现大量红色圆形脂滴,脂滴被油红 O 特异性染色呈亮红色,表明UC-MSC具备成脂分化能力,可分化为脂肪细胞。
B. 成骨分化鉴定(茜素红染色):UC-MSC经成骨诱导培养后进行茜素红染色,镜下观察可见细胞外基质中形成大量橘红色或砖红色钙化结节,茜素红与钙盐发生特异性显色反应,证实UC-MSC可向成骨细胞方向分化,并能形成矿化基质,具备成骨分化潜能。
C. 成软骨分化鉴定(阿利辛蓝染色):UC-MSC经成软骨诱导培养后进行阿利辛蓝染色,镜下可见软骨样细胞团内的酸性黏多糖(如硫酸软骨素)被阿利辛蓝特异性染为蓝色,细胞外基质呈均匀蓝色染色,提示 UC-MSC可分化为软骨样细胞,具有成软骨分化能力。

[1]Renesme, Laurent et al. “Delphi-driven consensus definition for mesenchymal stromal cells and clinical reporting guidelines for mesenchymal stromal cell-based therapeutics.” Cytotherapy vol. 27,2 (2025): 146-168. doi:10.1016/j.jcyt.2024.10.008

妙顺(上海)生物科技有限公司成立于2014年,总部位于上海,目前在浙江、江苏、山东和深圳均设有子公司。公司以细胞为核心支点,提供优质的药物临床前研究模型和工具,解决国内生物医药“卡脖子”问题,为客户提供小分子药物、单/双抗、CAR-T等细胞药物、抗体偶联药物(ADC)、肿瘤疫苗等创新药从药物筛选、体外药效研究、动物体内药效评价、药代动力学研究到毒理学评价等一系列全方位的药物发现及药效评价解决方案。
公司一直秉持着QbD理念,致力于打造国际标准化质量管理体系,先后引进了GCP、GMP、GLP、ISO(ISO 9001:2015/ISO 14001:2015/ISO 45001:2018)质量管理体系规范,从人、机、料、法、环各个角度,以确保客户获得高质量的服务,合作客户超1200家,受到一致好评。
咨询热线:021-64169739
咨询邮箱:sales@miles-bio.com